小心!皮膚搔癢,還起紅疹...原來是因為這樣!千萬別拖延就醫,否則痛苦的是你自己!

 

 

 

google廣告

google廣告

 

google廣告

google廣告

小心!皮膚搔癢,還起紅疹...原來是因為這樣!千萬別拖延就醫,否則痛苦的是你自己! 觀看人數:630  

 


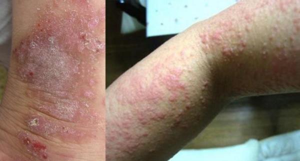
前些日子,小編發現身邊一個朋友的手臂起了一些紅斑,便細細詢問,得知她的手臂不僅起了紅點還感覺非常癢,她在網上谘詢了下,醫生說可能是蕁麻疹,為了緩解瘙癢,她特意到藥店買了止癢藥膏塗抹。 幾天過去,小編發現她的紅點不但沒有減少,而且還長了些小水皰,情急之下和她一塊去了醫院,經醫生診斷,她患的不是蕁麻疹,而是急性濕疹,並且給她開了些可以止癢的抗組胺藥,緩解她的濕疹症狀。 怎麽區分濕疹與蕁麻疹? <濕疹> 分為急性、亞急性和慢性三類皮膚炎症。 1、急性濕疹:一般發病於臉部、耳後、四肢和外陰等部位,發病急速,症狀明顯,病程發展可陸續出現紅斑、丘疹、水皰、膿包、糜爛、結痂等症狀,伴有劇烈瘙癢感。 2、亞急性濕疹:患者急性濕疹的症狀減輕後,患處出現丘疹、鱗屑、結痂等皮疹症狀,瘙癢抓撓後,出現糜爛現象。 3、慢性濕疹:急性、亞急性濕疹未能治愈,可導致病情轉變為慢性濕疹,一般發病於肘窩、手、外陰、肛門、腋窩、小腿、足等部位。

sponsored ads
sponsored ads


患處皮膚表現為浸潤增厚、變成暗紅色或有色素沈著、表面粗糙有鱗屑等,搔癢抓破後有結痂現象。 <蕁麻疹> 一般是過敏源所引起的,患者出現紅斑、疙瘩、局部水腫、患處劇烈瘙癢等症狀,嚴重可導致發燒、腹痛、腹瀉等,日光、吹風等可導致蕁麻疹病情加劇,此病病程較短,服用抗過敏藥之後,症狀通常在24小時內消退,且不留痕跡,但此病容易反覆發作。 引起濕疹的因素 內在因素:由於過度勞累、情緒激動、緊張、憂慮、憂鬱、失眠等神經精神因素擾亂身體新陳代謝,導致內分泌失調,誘發濕疹。 外在因素: 1、遺傳因素:濕疹具有遺傳基因,若祖輩患有濕疹,則會增加父輩或子輩患濕疹的幾率。 2、飲食習慣:快餐或加工食品中的添加劑、防腐劑等可引起濕疹,而葡萄酒、香蕉、牛肉、香腸等含有大量組胺,食用不當亦可誘發濕疹。 3、環境因素:人造纖維、衣服上的漂白劑、洗滌劑、塑料製品等,都可能是引發濕疹症狀的原因。

sponsored ads
sponsored ads


4、其他因素:氣候變化、化妝品、肥皂、日光等因素均可刺激人體,引起濕疹症狀。 濕疹該如何治療 1、患者可以服用抗組胺藥物。 2、若出現皮損滲液的情況,可以用3%硼酸溶液對患處進行濕敷,使滲液情況減少。 3、患者局部瘙癢時,可外用藥用軟膏等塗抹患處,達到止癢效果。 4、中藥治療:薄荷50克、黃連40克,白芥子和西紅花各30克、冰片25克、雄黃20克、丁香酚15克、露蜂房10克、烏梢蛇5克,將上述藥材一同煎煮後,隔渣飲用,一日三次,可控製濕疹症狀。 溫馨提示:患有濕疹的患者盡量不要用手抓撓患處,否則會導致病情惡化,另外要及時到醫院就診,以防止濕疹症狀演變為慢性濕疹,難以根治。

 

google廣告

google廣告
 

google廣告

google廣告

 

 

轉發 分享 是一種境界

文章尾

熱門推薦

熱門推薦

 

01廣告刊版插入



這裡滾動定格

關於 EZ生活


EZ生活 一個創新多用戶部落格平台。網友可以在這裡免費創建自己的部落格頻道!分享學習的經驗。

華人最大的內容分享平臺!

重要聲明:ezp9.com分享生活網,本站所有文章由會員即時發表,本站對所有文章的真實性、完整性及立場等,不負任何法律責任。 所有文章內容只代表發文者個人意見,並非本網站之立場,用戶不應信賴內容,並應自行判斷內容之真實性。發文者擁有在ezp9張貼的文章。 由於本站是受到「即時發表」運作方式所規限,故不能完全監察所有即時文章,如有不適當或對於文章出處有疑慮,請聯絡我們告知,我們將在最短時間內進行撤除。
若有任何文章侵犯到您的權益,請瑱妥 著作權侵害通知書 ,本站將會在24小時內刪除或修正。
若文章或是內容有問題請 | 聯絡我們 | ,我們將會第一時間優先處理。
使用注意事項使用規則Facebook隱私權條款隱私條款侵權舉報著作權保護聯絡我們廣告合作