| 真的不要再把它當水喝了,它對身體的損傷超乎你的想像: 武漢78歲男子常喝它,導致酸中毒身亡;杭州19歲高中生常當水喝,一口牙齒拔掉8顆、折斷10顆;澳洲25歲男子喝成癮,滿口牙全部被拔,還得了敗血症…… 大陸78歲男子常喝碳酸飲料,導致酸中毒身亡 武漢78歲的李老先生像年輕人一樣愛喝可樂,長達6年,他每天把1000餘亳升的可樂當成水喝。 9月9日早上6點多,李先生一起床就就空腹喝了一瓶可樂,隨後就噁心吐得床邊都是,隨即家人將李先生送到了醫院。  檢查發現,老人血液中的酸鹼度(pH)只有6.8,正常值為7.35-7.45,提示酸中毒。李老先生血液中二氧化碳的濃度竟高到「爆表」測不出來。顯示碳酸在他體內蓄積,已經導致體內內環境嚴重紊亂。昨日淩晨3點多,搶救無效,離開了人世。
| sponsored ads |
|
|
| sponsored ads |
醫生判定,李先生不幸離世的原因為碳酸堆積導致酸中毒,而碳酸累積正是長期大量飲用碳酸飲料所致。 醫生提醒, 長期大量飲用碳酸飲料,有害無益,特別對生長發育中的青少年及老年人,危害更大,切勿讓「可樂」成為「可悲」。
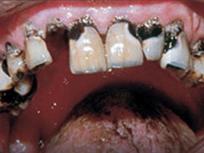
高中生常拿飲料當水喝,一口牙齒拔掉8顆、折斷10顆 杭州一名19歲高中生不喝水只喝飲料,什麼冰紅茶、可樂、汽水,每天都要喝上四五瓶。甚至靠飲料下飯,一口飲料一口飯。結果牙齒變成了這樣↓↓慘不忍睹!!!  8顆牙齒因為爛得太徹底,已不得不拔掉了。還有10顆牙齒因為被飲料腐蝕得脆弱不堪而折斷,剩下的牙齒也被腐蝕得很單薄,牙體幾乎變透明了,基本上只要一咬骨頭,也會馬上碎裂。
| sponsored ads |
|
|
| sponsored ads |
更慘的是這也影響到了面部骨骼發育 ,男孩的上頜骨骨量不足,顯得窄小,閉著嘴的時候,是「地包天」。 醫生提醒: 喝飲料也要講究方法:儘量用吸管,減少牙齒和飲料接觸的面積;喝完後馬上用清水漱口,但不要馬上刷牙,以免破壞已被飲料泡軟的牙齒表層琺瑯質。 每天喝七八瓶飲料,小老闆喝出糖尿病  杭州的小老闆小劉,每天要喝七八瓶功能飲料 。最近一個月,體重突然從156斤狂跌到146斤。而且總感覺口很乾,喝多少飲料都不解渴,這幾天看東西也變得模糊。檢查發現,血糖已經高到「爆表」,測不出來了。結合其他指標,他被診斷為糖尿病伴酮症 ,需立即住院治療。 男子喝飲料成癮,牙齒被拔光還 得了敗血症 澳洲25歲青年威廉‧肯尼韋爾,也是喝軟飲料成癮,多時一天喝8升可樂,致使滿口牙全部被拔,只能靠假牙進食,還得了敗血症。
| sponsored ads |
|
|
| sponsored ads |
 飲料的7大危害 1、引起腎結石 研究者分析認為,甜飲料降低了鈣和鉀的攝入量,增加了蔗糖的攝入量,可能是引起腎結石風險升高的重要因素。 2、導致肥胖 目前的研究證據已經可以肯定,多喝甜飲料會促進肥胖,而減少甜飲料攝入有利於體重控製。 3、降低營養吸收 一些研究提示,喝甜飲料多的人,膳食纖維的攝入量通常會減少,澱粉類主食和蛋白質也吃得較少,整體上維生素和礦物質攝入不足。 4、更易患糖尿病 在一項研究當中,對91249名女性追蹤8年。結果發現,每天喝一聽以上含糖飲料的人,與幾乎不喝甜飲料的人(每個月1聽以下)相比,糖尿病的危險會翻番。 5、容易骨質疏鬆和骨折 喝甜飲料越多的人,鈣的攝入量也越低。 6、更易患上齲齒 有多項研究表明,甜飲料攝入量和齲齒的危險有正相關。蛀牙危險的增加,很可能是因為甜飲料帶來體內鈣的丟失,從而讓牙齒變得更為脆弱。 7、提高患痛風的風險 有研究證實甜飲料會增加體內尿酸,提升患痛風的風險。 真的真的不要再拿飲料當水喝了,它對身體的損傷超乎你的想像! 大家都再看>>> 太強了!只要幾個步驟,不用花錢就能去除牙菌斑!讓牙齒變得超潔白!趕快試試看!! 
|