|
25歲的路易絲(Louise)一直都很健康,突然有天她的下腹部出現了強烈刺痛感,而且還在非月經期出現了異常出血。

為了弄清楚到底是什麼原因,路易絲決定用驗孕棒看看是否懷孕了,結果出來發現並沒有懷孕,而且疼痛的癥狀越來越明顯了。

她只能去醫院求助醫生,醫生給她又測了一次,結果仍然是陰性,但癥狀不但沒有減輕,隨之而來的還有背疼、尿頻、沒有胃口等等,然而沒有想到的是醫生接下來依然讓她驗孕……
就這樣,路易斯一共驗孕了七次!
但是她堅信自己身體肯定出現了異常,根本和懷孕無關,就這樣她非常堅定地找醫生,要醫生給她一個正確答案!

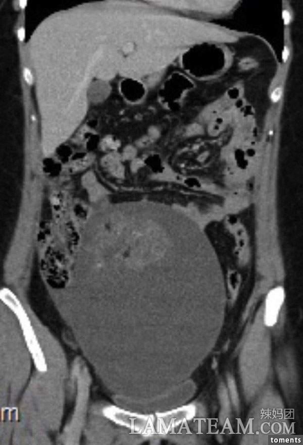
最後醫生做了活組織切片,結果表明路易斯患了未成熟卵巢畸胎瘤。
從片子中可以清楚看到這個腫瘤已經佔據她的整個胃部,還在壓迫著其他器官。
這種情況只能手術,醫生先把腫瘤壓縮,到了可以移除的大小進行切除,然後修復卵巢和輸卵管,就這樣進行4個小時的手術一切順利,而且還不會影響路易斯以後的生育。

這種未成熟卵巢畸胎瘤高發於20出頭的年輕女性。
| sponsored ads |
|
|
| sponsored ads |
專家表示:如果腹部脹大或者突起這些類似的癥狀通常會被認為是懷孕,如果多次驗孕後表明是陰性,那麼一定要去醫院進行相關檢測,以免延誤病情。

好在及時治療,路易斯康復得非常好,她說希望能夠在未來和男朋友共組幸福的家庭,擁有他們的寶寶。

路易斯的事也提醒了廣大女性朋友們,一旦感到身體不對勁,一定要去醫院檢查,相信自己的直覺,我們想想如果她沒有堅持做檢查,那麼後果也許會不堪設想!
請分享出去讓多人看看這件事,有時候很多疾病容易被誤診,還好最後有被發現,大家遇上不舒服的情況千萬別掉以輕心,正確的治療才能幫助你喔! |